نگهداری از ایمپلنت تأثیر زیادی بر دوام و کارایی آن دارد. اگرچه ایمپلنت به عنوان یک ساختار کاملاً غیر زنده تلقی میشود، اما به مراقبتهای جدی و اصولی نیازمند است تا از خراب شدن و فرسایش زودهنگام جلوگیری شود. انجام ایمپلنت دندان راه حلی ساده و بدون درد برای جایگزینی دندانهای طبیعی به شمار میرود، زیرا با مسواک زدن سه بار در روز، بخش بزرگی از نیازهای نگهداری آن برطرف میشود.
مراقبتهای پس از انجام ایمپلنت دندان
نگهداری از ایمپلنتهای دندانی بعد از عمل بسیار حیاتی است. این ایمپلنتها میتوانند به اندازه دندانهای طبیعی عمر کنند، مشروط بر اینکه به درستی از آنها مراقبت شود. این موضوع مشابه نگهداری از یک خودرو لوکس و گران قیمت است که نیاز به توجه و مراقبت مستمر دارد. مراقبتهای پس از انجام ایمپلنت دندان شامل پاکسازی دقیق، و همچنین معاینات منظم توسط دندانپزشک به منظور ارزیابی وضعیت سلامت ایمپلنتها میباشد. برای تضمین موفقیت جراحی و بهرهبرداری حداکثری از این دندانهای مصنوعی، به توصیههای زیر توجه کنید:
رعایت اصل اولیه مراقبت پس از انجام ایمپلنت دندان
به محض اتمام جراحی، فرآیند مراقبت از ایمپلنت دندان آغاز میشود. در مسیر بازگشت به منزل، به خودتان استراحت دهید. بهتر است فردی را با خود همراه کنید که رانندگی کند. در این زمان، اثرات بیهوشی به تدریج کاهش مییابد. نکات کلیدی که باید مدنظر داشته باشید، شامل عدم لمس ناحیه ایمپلنت و پرهیز از شستشوی شدید دهان است. بلافاصله پس از جراحی، دستورالعملهای مربوط به مراقبت از ایمپلنت دندان را به دقت دنبال کنید و این روند را برای چند روز آینده ادامه دهید.
کنترل خونریزی
خونریزی ناشی از محل ایمپلنت یا وجود رنگ قرمز در بزاق ممکن است تا ۷۲ ساعت پس از عمل جراحی ایمپلنت دندان ادامه یابد. برای مدیریت این وضعیت، توصیه میشود که گاز استریل را به مدت حدود یک ساعت به آرامی گاز بزنید. پس از بازگشت به منزل، در صورت نیاز، این کار را هر ۶ تا ۱۰ ساعت تکرار نمایید. اگر خونریزی شدید است، به جای گاز استریل، از چای سیاه کیسهای مرطوب استفاده کنید.
اسید تانیک موجود در این چای به انقباض رگهای خونی کمک کرده و فرآیند تشکیل لخته خون را تسهیل مینماید. برای جلوگیری از خونریزی غیرضروری، سعی کنید آرامش خود را حفظ کنید، به حالت نشسته باقی بمانید و از فعالیتهای بدنی خودداری کنید. از خم شدن یا بلند کردن اجسام سنگین پرهیز کنید. همچنین، تف کردن قوی، سیگار کشیدن و استفاده از نی میتواند تشکیل لخته خون را دچار اختلال کند.

درد را مدیریت کنید
درد یکی از رایج ترین عوارض انجام ایمپلنت دندان است که معمولا دندانپزشک متخصص برای تسکین آن قرص های مسکن تجویز میکند و معروف ترین آنها ایبوپروفن، OTC Advil و Aleve هستند. مطالعات نشان می دهد که این مسکن ها می توانند در فرآیند جوش خوردن استخوان با ایمپلنت اختلال ایجاد کنند. بهترین درمان برای درد پس از کاشت ایمپلنت، تیلنول است. آن را درست قبل از از بین رفتن بیهوشی یا زمانی که درد شدید دارید، مصرف کنید. دستورالعمل های روی بسته بندی را رعایت کنید. متخصص ایمپلنت دوز مصرفی و مقدار را به شما اعلام میکند، اما قانون کلی این است که بیشتر از هر ۶ ساعت از مسکن استفاده نکنید.
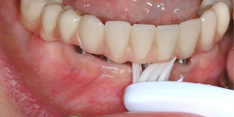
توجه به بهداشت دهان و دندان
در دوران بهبودی ایمپلنت، رعایت بهداشت دهان و دندان از اهمیت ویژهای برخوردار است. نواحی نرم اطراف ایمپلنت برای ترمیم نیاز به شرایطی پاکیزه دارند. عفونتها به عنوان عامل اصلی عدم موفقیت ایمپلنت شناخته میشوند. پس از انجام ایمپلنت دندان، دندانهای خود را بهطور معمول شب هنگام مسواک کنید. پس از هر وعده غذایی، دهان خود را با ترکیب یک لیوان آب گرم و یک قاشق چایخوری نمک بشویید تا بقایای غذا از بین برود. این روش را تا یک هفته پس از عمل ادامه دهید و سپس به استفاده از شستشوی کلرهگزیدین بپردازید.
از خمیردندان مخصوص استفاده کنید!
پس از انجام ایمپلنت دندان، از خمیردندانها و دهانشویههای ویژه دندانهای حساس استفاده نمایید. برخی از این محصولات ممکن است خیلی ساینده باشند و موجب ناراحتیهای قابل توجهی شوند. همچنین، محصولات بهداشتی با طعمهای تند مانند نعناع یا دارچین میتوانند احساس آزاردهندهای در دهان ایجاد کنند.
مراقبتهای پس از ایمپلنت در ۷۲ ساعت اول
یک روز پس از انجام ایمپلنت دندان، لازم است دهان خود را صبح، بعد از هر وعده غذایی و پیش از خواب با محلول آب نمک شستشو دهید. در سه روز نخست ممکن است مقداری تورم یا کبودی در ناحیه ایمپلنت مشاهده کنید. این موضوع کاملاً طبیعی است و میتوانید با قرار دادن یک کیسه یخ کوچک در ناحیه مذکور به مدت ۱۰ تا ۱۵ دقیقه، از شدت آن بکاهید. همچنین، فراموش نکنید که طبق توصیه دندانپزشک، روزانه سه تا چهار بار از دهانشویه استفاده کنید تا به فرآیند بهبودی کمک کند. در صورتی که دندانپزشک برای شما آنتیبیوتیک تجویز کرده، حتماً باید آن را در زمانهای مشخص مصرف کنید.
پیامدهای عدم رعایت مراقبتهای پس از انجام ایمپلنت دندان چیست؟
چنانچه پس از انجام ایمپلنت دندان، به آن رسیدگی نشود، ممکن است با عوارض جدی و مشکلاتی مواجه شوید که شامل موارد زیر است:
عفونت: ممکن است عفونت در ناحیه جراحی ایمپلنت بروز کند و منجر به بروز درد، تورم و بیماریهای خطرناکتری مانند سپتیسمی گردد.
عدم ادغام ایمپلنت با استخوان: در برخی موارد، ایمپلنت قادر به ادغام با استخوان نخواهد بود که این امر میتواند به شکست دستگاه و ناکامی در جراحی منجر شود.
خروج ایمپلنت: در صورتی که فشار زیادی به ناحیه جراحی وارد شود، احتمال دارد ایمپلنت از موقعیت خود خارج گردد.
نارسایی عملکرد: اگر ایمپلنت به درستی نصب نشده باشد، ممکن است به مشکلاتی از جمله درد، التهاب و نارسایی عملکرد دچار شوید.
کاهش طول عمر ایمپلنت: عدم توجه به مراقبتهای لازم و نادیده گرفتن روند درمان میتواند به کاهش عمر ایمپلنت منجر شود و نیاز به جراحی مجدد را به وجود آورد.
از این رو، رعایت مراقبتهای لازم پس از ایمپلنت دندان بسیار حائز اهمیت بوده و باید با جدیت توسط بیمار دنبال شود.

سخن پایانی
نگهداری از ایمپلنت از اهمیت بالایی برخوردار است و میتواند از بروز عوارض جدی جلوگیری کند. اگر تمایل دارید روند بهبودی محل کاشت سریعتر پیش برود و ایمپلنتها در آینده دچار مشکل نشوند، رعایت نکات مراقبتی ضروری است. به طور روزانه حداقل دو بار از مسواک و نخ دندان بهره بگیرید. پس از انجام ایمپلنت دندان، استفاده از کمپرس یخ و مصرف منظم داروها را فراموش نکنید.
برای ۳ تا ۴ روز، بهتر است غذاهای نرم مصرف کنید و از خوردن غذاهای داغ یا تند پرهیز کنید. پس از انجام ایمپلنت، مهم است که به طور مرتب و حداقل سالی دو بار به دندانپزشک مراجعه نمایید تا هر نوع مشکل احتمالی در دهان و دندان بررسی شود. اگر تمایل دارید تا با بهترین دکتر دندانپزشک ارتباط بگیرید، وارد سایت مجموعه دکتر معصومه دولتیاری شوید که مجربترین دکتر دندانپزشک برای ایمپلنت دندان در کرمانشاه هستند. سپس وقت خود را برای مشاوره و چکاپ تعیین کنید.



