آخرین مقالات ما
آخرین نوشته های ما
- قیمت(هزینه) خدمات دندانپزشکی در کرمانشاه(۱۴۰۴)
- کامپوزیت اقساطی در گیلانغرب ؛ راهی سریع و مقرونبهصرفه
- هر آنچه باید در مورد عصب کشی دندان در گیلانغرب بدانید
- کشیدن دندان در گیلانغرب؛ راهنمای کامل
- جراحی دندان عقل عقل نهفته و نیمه نهفته در گیلانغرب
- ارتودنسی شفاف(نامرئی) در گیلانغرب هر آنچه که باید بدانید
- بلیچینگ دندان در گیلانغرب؛ راز لبخند سفید و درخشان شما
- لمینت دندان در گیلانغرب | راهی مطمئن برای لبخندی زیبا
کامپوزیت دندان در کرمانشاه
فهرست مطالب
کامپوزیت دندان در کرمانشاه یک درمان دندانپزشکی زیبایی است که برای تقویت لبخند شما استفاده میشود. همچنین نواحی آسیبدیده را پوشش میدهد و با تقویت ساختار دندان، محیط دهان شما را بهبود میبخشد. درصورتی که از دندانها و لبخند خود راضی نیستید، میتوانید این درمان محبوب را انتخاب کنید. در این راهنمای جامع، شما را با فرایند کامپوزیت دندان، انواع آن، نحوه استفاده، مزایا و مراقبتهای بعد از انجام، توسط بهترین متخصص در کرمانشاه آشنا میکنیم؛ بنابراین تا انتهای محتوا همراه ما باشید تا بتوانید کامپوزیت دندان را بهتر درک کنید.
اطلاعاتی از کامپوزیت کرمانشاه

کامپوزیت در کرمانشاه توسط دکتر دولتیاری انجام میگیرد که مواد همرنگ دندان را روی دندانهای آسیب دیده اعمال میکند تا شکل، اندازه و رنگ آنها را تغییر دهد. در واقع دندانپزشک میتواند تراشهها یا ترکهای دندانهای شما را ازطریق کامپوزیت پنهان کند. شکل دندانها را تغییر دهد و از ریشههای دندانی که در معرض تحلیل لثه قرار گرفتهاند، محافظت کند. به این نکته توجه کنید که کامپوزیت دندان، یکی از متداولترین روشها در حوزه دندانپزشکی به شمار میآید و سنگ بنای حفظ سلامت دهان و دندان است.
انواع کامپوزیت دندان در کرمانشاه
انواع کامپوزیت دندان در کرمانشاه بر اساس ابعاد و اندازه ذرات تشکیل دهنده آن انجام میگیرد که هر یک کیفیتهای گوناگونی را دارند. هرچه که این ذرات کوچکتر باشند، پولیشپذیری بالاتر و شکل طبیعیتری خواهند داشت و دندانپزشک هم بهراحتی آنها را فرم میدهد. انتخاب هر یک باتوجه به جنس دندان، شکل، اندازه و میزان حساسیت هر شخص انتخاب میشود. در این بخش، انواع کامپوزیتهای دندان را از نظر سایز و ابعاد بهطور کامل شرح میدهیم.
کامپوزیت میکروفیل در کرمانشاه
از ویژگیهای کامپوزیت میکروفیل میتوان گفت که حاوی ذرات کوچک نامنظمی هستند که سطح بسیار بالایی دارند. به عبارت دیگر در مقایسه با سایر کامپوزیتهای دندان از استحکام کمتری برخوردار هستند. اگرچه برای ترمیم زیبایی دندانهای جلو بهکار برده میشوند؛ اما خواص فیزیکی خوبی ندارد و کامپزیتهای بسیار قوی نیستند.
کامپوزیت ماکروفیل در کرمانشاه
کامپوزیت ماکروفیل از مقاومت مکانیکی خوبی برخوردار است؛ ولی پولیشپذیری کمی دارد که درحال حاضر مورد استفاده قرار نمیگیرد. این ذرات، دارای ابعاد ۱۰ تا ۵۰ میکرومتر هستند و جزو اولینهای مواد کامپوزیتی محسوب میشوند. ابعاد ذرات تشکیل دهنده این نوع کامپوزیت، بزرگتر از دیگر کامپوزیتها هستند.
کامپوزیت نانوفیل در کرمانشاه
یکی از بهترین انواع کامپوزیتهای دندان در کرمانشاه نانوفیل است که با اندازه ذرات کوچکی که دارد، محتوای پرکننده بالایی خواهد داشت. کامپوزیتهای نانوفیل از استحکام بالای برخوردار هستند و در برابر ساییدگی مقاومت بسیار خوبی دارند. از ویژگیهای خوب آنها میتوان گفت که به دلیل ذرات کوچک، قدرت زیاد و زیبایی منحصر بهفردی به دندانهای شما میبخشند.
کامپوزیت میکروهیبرید در کرمانشاه
کامپوزیت میکروهیبرید مخلوطی از ذرات کوچک و بزرگ است که استحکام خوبی دارد. توانایی پولیشپذیری آن بهطور متوسط خواهد بود و برای دندانهای جلو و عقب و مناسب هستند. اگرچه محتوای پرکننده خوبی دارد و کیفیت چهره شما را حفظ میکند؛ اما این امکان را دارد که بعد از گذشت سالها، شروع به از دست دادن جلا و درخشش خود کند.
کامپوزیت نانوهیبرید در کرمانشاه
کامپوزیت نانوهیبرید حاوی ذرات در اندازه نانو هستند که زیبایی، دوام و ترمیم دندانها را به همراه دارد. از مهمترین ویژگیهای این نوع کامپوزیت میتوان به رنگ طبیعی آن، عدم نیاز به تراش دندانها و مقاومت بالا در برابر ساییدگی اشاره کرد. ضمن اینکه مراقبت از کامپوزیت نانوهیبرید بسیار مهم خواهد بود و در طول عمر آن، نقش محوری دارد.
کامپوزیت بولک در کرمانشاه
کامپوزیت دندان بولک برای پر کردن حفرههای دندانی بزرگ و عمیق ساخته شده است که حجم دهندگی زیادی دارد. در واقع فاصله بین دندانها را خیلی خوب پر میکند و جای خالی برای ماندن ذرات مواد غذایی نمیگذارد. البته، میتوان گفت که در برابر تغییر رنگ، مقاومت کمتری دارد. این نوع کامپوزیت از زیرکونیوم و سلیس غیرتجمعی تشکیل شده که برای لایههای ضخیم کارایی زیادی دارد.
روشهای استفاده از کامپوزیت دندان
بهترین دکتر کامپوزیت در کرمانشاه این فرایند را به ۲ شکل میتواند در مطب خود انجام دهد که هر کدام ویژگیها و کاربردهای خاص خود را دارند. این ۲ متد اجرایی عبارتاند از:
کامپوزیت دندان مستقیم (Direct composite veneers)
در کامپوزیت مستقیم که طی یک جلسه انجام میگیرد، نیازی به قالبگیری و ارسال به لابراتور نیست. دندانپزشکان کامپوزیتهای از پیشساخته را در کلینیک میگذارند و به وسیله تابش اشعه لیزر بهصورت دستی انجام میدهند. از این روش برای پر کردن حفرههای دندانی کوچک، حذف عیوب جزئی، بلندتر نشان دادن دندانها و از بین بردن فاصله بین دندانی کوچک استفاده میکنند.
کامپوزیت دندان غیرمستقیم (Indirect composite veneers)
در روش غیرمستقیم کامپوزیتها در لابراتور ساخته میشوند و طول درمان آن بیشتر از روش مستقیم است. این روش برای ترمیم سطوح وسیعتر و عیوب بزرگتر استفاده میشود. همچنین برای تغییر شکل دندانها، درمان و ترمیم همه یا بخش از تاجهای دندانی کاربرد دارد. درضمن، کامپوزیت غیرمستقیم دوام بیشتری دارد؛ زیرا که از مواد با کیفیتتری ساخته میشوند.
مزایا و ویژگیهای استفاده از کامپوزیت دندان

قبل از اینکه تصمیم بگیرید و انجام کامپوزیت در کرمانشاه توسط بهترین دندانپزشک کامپوزیت کرمانشاه را انتخاب کنید، لازم است که اطلاعاتی در مورد مزایا و ویژگیهای آن داشته باشید تا از مناسب بودن آن برای خود اطمینان حاصل کنید. در این بخش برخی از مزایا را برای شما آوردهایم:
- با انجام کامپوزیت ساختار طبیعی دندان حفظ میشود و کمتر تخریب خواهند شد.
- مهمترین مزیت، ظاهر طبیعی کامپوزیت است که با رنگ دندانهای طبیعی شما مطابقت دارد.
- این روش بدون درد، خونریزی و فاقد عوارض جانبی است و باعث آسیبرساندن به مینای دندان نمیشود.
- دندانپزشکان میتوانند مواد کامپوزیت را برای پر کردن و حتی روکش سایر ترمیمهای دندانی استفاده کنند.
- کامپوزیت، دارای رنگهای متنوعی است که افراد باتوجه به نیاز و سلیقه خود میتوانند رنگ دلخواه را انتخاب کنند.
- از آنجا که کامپوزیت دندان با تغییرات دما منبسط و منقبض نمیشود، میتواند احتمال حساسیت و ناراحتی دندان را کاهش دهد.
- با چسبیدن مواد کامپوزیت به سطح دندان از ساختار آن پشتیبانی میشود و به جلوگیری از آسیب و شکستگی دندان در آینده کمک میکند.
- تنها با یک جلسه میتوانید این فرایند را انجام دهید و تغییرات لازم را احساس کنید و درصورت هرگونه تغییر رنگ کامپوزیت، میتوان آن را ترمیم کرد.
ماندگاری کامپوزیت دندان چقدر است؟
بسیاری از افراد میخواهند بدانند که کامپوزیت چقدر دوام میآورد و آیا تا چند سال آینده میتواند ماندگاری داشته باشد. طول عمر کامپوزیت دندان در کرمانشاه به موارد متعددی مانند بهداشت دهان و دندان، عادات سبک زندگی، تخصص دندانپزشک، اندازه و تعداد دندانها و رژیم غذایی بستگی دارد.
البته که جنس و برند معتبر کامپوزیت نیز در طول عمر آن نقش محوری دارد. بهطور کلی این فرایند ۵ تا ۱۰ سال میتواند دوام بیاورد و برای طولانیمدت لبخند زیبا را به شما ارائه دهد. درضمن اگر کامپوزیتها دچار پریدگی شوند یا بشکنند، امکان اصلاح همان دندان آسیب دیده وجود دارد و ترمیم میشوند.
مراقبتهای پس از کامپوزیت دندان در کرمانشاه
دکتر کامپوزیت کرمانشاه توصیه میکند برای کاهش درد، تورم و داشتن نتیجهای درخشان از دستورالعملهای اولیه مراقبت در منزل پیروی کنید تا زمان بهبودی شما کوتاهتر شود. این توصیهها شامل موارد زیر میشوند:
- توصیه میشود پس از کامپوزیت در ساعات اولیه، مایعات و غذاهای سرد مصرف کنید تا آسیبی به آن وارد نشود.
- بهتر است تا ۲ هفته از غذاهایی که نیاز به جویدن بیش از حد دارد و غذاهای چسبنده اجتناب کنید.
- بهطور منظم از مسواک، نخ دندان و دهانشویه استفاده کنید؛ زیرا که حفظ بهداشت دهان و دندان یکی از موارد ضروری است.
- بعد از کامپوزیت دندان در کرمانشاه ناخنهای خود را نجوید و از دندانها به عنوان ابزار استفاده نکنید که بر اثر فشار هر چند کوچک هم دچار مشکل میشوند.
- از خوراکیها و نوشیدنیهای رنگزا مانند قهوه، چای یا شراب قرمز خودداری کنید؛ به این منظور که با گذشت زمان تغییر رنگ میدهند.
- برای انجام معاینات توصیه میشود بهصورت دورهای به دندانپزشک خود مراجعه کنید تا هرگونه مشکل بالقوه زودتر از آسیبرساندن جدی به کامپوزیت، تشخیص داده شود.
- بهطور کلی ترکیبات قندی و اسیدی که باعث پوسیدگی دندان و از بین رفتن روکش کامپوزیت میشود، مصرف نکنید.
- سیگار کشیدن و دندان قروچه خیلی سریع روی کامپوزیت تاثیر میگذارند و پیشنهاد میکنیم که این عادات مخرب را ترک کنید.
- یکی از مهمترین مراقبتهای کامپوزیت دندان، استفاده از مسواک و خمیر دندان مناسب است؛ زیرا برخی از مسواکهای خشن و خمیر دندانهایی که مخصوص افراد سیگاری هستند، کامپوزیت را از بین میبرند.
- درصورتی که فعالیتهای ورزشی انجام میدهید برای حفاظت از کامپوزیتها در مقابل ضربات خارجی از محافظ استفاده کنید.
مراحل انجام کامپوزیت دندان در کرمانشاه
کامپوزیت دندان یکی از محبوبترین روشها برای بهبود ظاهر و زیبایی دندانهاست که در بسیاری از کلینیکهای دندانپزشکی در کرمانشاه ارائه میشود. این روش با استفاده از موادی خاص که به سطح دندان چسبانده میشود، میتواند شکل، رنگ و حتی جایگاه دندانها را اصلاح کند. در ادامه مراحل انجام کامپوزیت دندان را بررسی میکنیم:
۱. مشاوره و بررسی اولیه
در اولین قدم، دندانپزشک دندانهای بیمار را بررسی میکند تا اطمینان حاصل شود که بیمار کاندیدای مناسبی برای کامپوزیت است. در این جلسه، بیمار میتواند انتظارات خود را مطرح کند و دندانپزشک توضیحات لازم را درباره فرآیند و نتیجه نهایی ارائه میدهد.
۲. تمیز کردن و آمادهسازی دندانها
قبل از شروع فرآیند، دندانها به طور کامل تمیز میشوند تا هرگونه جرم، لکه یا پوسیدگی برطرف شود. در برخی موارد، ممکن است نیاز به تراشیدن بسیار کم از سطح دندان باشد تا مواد کامپوزیت بهتر بچسبند.
۳. انتخاب رنگ مناسب
یکی از مهمترین مراحل، انتخاب رنگ کامپوزیت است که باید با رنگ دندانهای طبیعی بیمار هماهنگ باشد. این کار با استفاده از راهنمای رنگ دندان انجام میشود تا نتیجهای طبیعی و زیبا حاصل شود.
۴. اعمال مواد کامپوزیت
مواد کامپوزیت که حالتی خمیری دارند، به دندانها اعمال شده و به شکل دلخواه فرم داده میشوند. این مرحله نیازمند دقت و مهارت بالای دندانپزشک است تا نتیجه نهایی هماهنگ و زیبا باشد.
۵. سفت کردن مواد با نور مخصوص
پس از فرمدهی مواد کامپوزیت، دندانپزشک از نور خاصی استفاده میکند تا مواد سفت و محکم شوند. این نور باعث سخت شدن سریع مواد و چسبیدن آن به سطح دندان میشود.
۶. پولیش و صاف کردن دندانها
در نهایت، دندانپزشک سطح کامپوزیت را پولیش میکند تا دندانها براق و طبیعی به نظر برسند. این مرحله به بهبود ظاهر و احساس راحتی بیمار کمک میکند.
متخصص کامپوزیت در کرمانشاه
داشتن لبخندی زیبا و دندانهایی مرتب تأثیر بسیاری در افزایش اعتمادبهنفس دارد. اگر به دنبال یک متخصص کامپوزیت در کرمانشاه هستید که با جدیدترین تکنیکها و متریالهای روز دنیا کار کند، دکتر معصومه دولتیاری میتواند انتخابی ایدهآل باشد. ایشان با دقت و ظرافت بالا، ظاهر طبیعی و زیبا برای دندانهای شما ایجاد میکند. تجربه و تخصص دکتر دولتیاری تضمینکننده کیفیت خدماتی است که دریافت خواهید کرد.
بهترین دندانپزشک کامپوزیت در کرمانشاه
یافتن بهترین دندانپزشک کامپوزیت در کرمانشاه برای داشتن لبخندی زیبا و جذاب بسیار اهمیت دارد. دکتر معصومه دولتیاری با سالها تجربه در زمینه کامپوزیت دندان و استفاده از بهروزترین تکنیکها و مواد باکیفیت، یکی از برترین دندانپزشکان این حوزه در کرمانشاه به شمار میرود. اگر به دنبال دندانهایی طبیعی، شفاف و هماهنگ هستید، خدمات حرفهای ایشان میتواند بهترین انتخاب برای شما باشد. برای رزرو وقت یا مشاوره، همین امروز با کلینیک دکتر دولتیاری تماس بگیرید.
کامپوزیت در مطب دکتر معصومه دولتیاری
در کرمانشاه، مطب دکتر معصومه دولتیاری یکی از مراکز برجسته در ارائه خدمات کامپوزیت دندان است. ایشان با بهرهگیری از جدیدترین تکنولوژیها و مواد باکیفیت، کامپوزیتهایی با ظاهری طبیعی و ماندگاری بالا برای بیماران انجام میدهند. همچنین در این مطب، مشاوره دقیق و شخصیسازی شدهای برای هر بیمار ارائه میشود تا نتیجه نهایی مطابق با انتظارات او باشد.
قیمت کامپوزیت دندان در کرمانشاه
قیمت و هزینه کامپوزیت در کرمانشاه به عوامل مختلفی بستگی دارد و یک نرخ ثابت برای انجام این خدمات وجود ندارد. بهطور کلی کامپوزیتهایی که کیفیت بالاتر و برند معتبری داشته باشند، قیمت بیشتری هم خواهند داشت. در اصل قیمت کامپوزیت به ازای هر دندان محاسبه میشود و هرچه تعداد دندانهای شما برای کامپوزیت بیشتر باشد، بیشک قیمت آن هم بالاتر میرود.
گاهی شکل، اندازه و رنگ دندان به مهارت بیشتر دندانپزشک نیاز دارد که این روند میتواند در هزینه تاثیرگذار باشد. تخصص، مهارت و تجربه دندانپزشک را فراموش نکنید که درصورت انتخاب نادرست در کنار ظاهر غیرطبیعی، متحمل هزینههای اضافی نیز خواهید شد.
نکته: برای گرفتن اطلاعات بیشتر از قیمت کامپوزیت مقاله قیمت کامپوزیت در کرمانشاه را مطاله بفرمایید
سخن پایانی
کامپوزیت دندان در کرمانشاه نقش مهمی در افزایش سلامت کلی دهان و دندان مراجعه کنندگان دارد. کسانی که به دنبال مزایای زیبایی آن هستند، میتوانند این فرایند را باتوجه به نیازها و ترجیحات خاص خود تنظیم کنند. دقت داشته باشید که کامپوزیت و ترمیم آن بسیار حساس است و باید با مهارت زیادی انجام گیرد تا طول عمر خوبی داشته باشد. دکتر معصومه دولتیاری بهترین دندانپزشک کرمانشاه با استفاده از تخصص و تجربه خود، لبخندی مطمئن و درخشان را به چهره شما هدیه میدهد. همچنین ترمیم دندانهای شما را به بهترین شکل ممکن انجام میدهد.
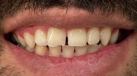
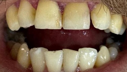
نمونه کار های کامپوزیت


قطعا بهترین دکتر برای کامپوزیت در کرمانشاه خانم دکتر دولتیاری هستن
خیلی ممنونم از دکتر دولتیاری و تیم محترمش بابت عالی بودن کامپوزیت دندان در کرمانشاه؛ کار دقیق و با ظرافت انجام شد، نتیجه از چیزی که تصور میکردم هم بهتر بود.
ممنون از لطف شما خیلی خوشحالم که از عملکرد و نتیجه راضی هستید.
خیلی ممنونم از تیم کلینیک به خاطر کامپوزیت دندان در کرمانشاه واقعاً نتیجه طبیعی و کاملاً رضایتبخش بود.
خیلی ممنون از نظر دلگرمکننده شما! خوشحالیم که نتیجه کامپوزیت دندان در کرمانشاه مورد پسندتان قرار گرفته است. امیدواریم همیشه لبخند زیبایتان را ببینیم.
خیلی خوشحالم که به مطب دکتر معصومه دولتیاری مراجعه کردم. کامپوزیت دندان در کرمانشاه رو با دقت و مهارت انجام دادن و نتیجه فوقالعاده بود. لبخندم طبیعی و زیبا شده و از اعتمادم به این تیم راضیام. حتماً به کسانی که به دنبال دندانپزشک حرفهای هستن، توصیه میکنم.
از نظر مثبت شما بسیار سپاسگزاریم. خوشحالیم که توانستیم لبخند شما را زیباتر کنیم. همیشه در کنار شما خواهیم بود تا بهترین خدمات را ارائه دهیم.
خیلی رضایت دارم از کامپوزیت دندان در کلینیک شما هم رنگش دقیقاً مثل دندون طبیعی شد، هم کار بدون درد و در زمان مناسب انجام شد.
خیلی ممنون از لطفتون خوشحالیم که از نتیجه کار کامپوزیت دندان راضی هستید. هدف ما همیشه ارائه بهترین خدمات دندانپزشکی با بالاترین کیفیته. اگر سوال یا نیاز به مراقبت بیشتری داشتید، در خدمتم.
من برای کامپوزیت دندان در کرمانشاه پیش دکتر دولتیاری رفتم و واقعا از نتیجه راضیام. هم رنگ دندونهام طبیعی شده، هم لبخندم خیلی زیباتر شده. ممنون از تیم حرفهای کلینیک
خیلی خوشحالیم که از نتیجهی کامپوزیت دندان راضی هستید هدف ما همیشه لبخند رضایت بیماران عزیزمونه. ممنون از اعتمادتون
من برای انجام کامپوزیت دندان در کرمانشاه پیش دکتر دولتیاری رفتم، واقعاً از نتیجه کار راضیام هم رنگ دندونهام خیلی طبیعی شده هم لبخندم خیلی قشنگتره، ممنون از تیم حرفهای کلینیک.
خیلی خوشحالیم که از نتیجه کامپوزیت دندانتون رضایت داشتید هدف ما همیشه لبخند زیبا و رضایت بیماران عزیزمونه. ممنون از اعتمادتون
من برای انجام کامپوزیت دندان در کرمانشاه به کلینیک خانم دکتر دولتیاری مراجعه کردم، واقعا از نتیجه کار و طبیعی بودن لبخندم خیلی راضیام. ممنون از برخورد حرفهای و صبرشون
خیلی خوشحالیم که از نتیجه کامپوزیت دندانتون راضی هستید رضایت شما انگیزه ماست تا بهترین خدمات دندانپزشکی رو در کرمانشاه ارائه بدیم.
تجربهی من از کامپوزیت دندان در کرمانشاه خیلی عالی بود، نتیجه خیلی طبیعی و تمیز شد و کاملاً راضی هستم.
خیلی خوشحالیم که از نتیجه راضی بودید! لبخند شما همیشه زیبا بمونه.
واقعا از نتیجه کامپوزیت دندانم توی این کلینیک راضیام، دندانهام خیلی طبیعی و مرتب شدهاند. ممنون از تیم حرفهای شما!
خوشحالیم که از نتیجه راضی بودید تیم ما همیشه تلاش میکنه بهترین نتیجه طبیعی و زیبا رو برای بیماران ارائه بده.
کامپوزیت دندان در کرمانشاه انجام دادم و واقعاً از نتیجه راضی هستم، لبخندم خیلی طبیعی شده.
خیلی خوشحالیم که از نتیجه راضی هستید! همیشه تلاش میکنیم لبخند بیمارانمون زیبا و طبیعی باشه.
کامپوزیت دندانم در کلینیک شما انجام شد و واقعاً نتیجه فوقالعادهای گرفتم، رنگ و فرم دندانها دقیقاً همونی شد که میخواستم!
خیلی خوشحالیم که از نتیجه رضایت دارید! همیشه تلاش میکنیم لبخند شما بهترین حالت خودش رو داشته باشه.