دنداندرد یکی از آزاردهندهترین دردهایی است که بسیاری از افراد را به سرعت به مطب دندانپزشک میکشاند. در برخی موارد، درمانهای معمول مانند پر کردن یا عصبکشی کافی نیست و کشیدن دندان به عنوان آخرین راهحل در نظر گرفته میشود. اگر در منطقه غرب کشور و به ویژه جوانرود زندگی میکنید و به دنبال اطلاعاتی جامع و بهروز در مورد کشیدن دندان هستید، این مقاله دقیقاً برای شما نوشته شده است.
ما در ادامه به تمام جنبههای مرتبط با کشیدن دندان در جوانرود میپردازیم؛ از زمان مناسب برای کشیدن دندان گرفته تا هزینهها، معرفی پزشک متخصص، و حتی نکاتی برای مراقبتهای قبل و بعد از کشیدن دندان. تا انتها با ما همراه باشید.

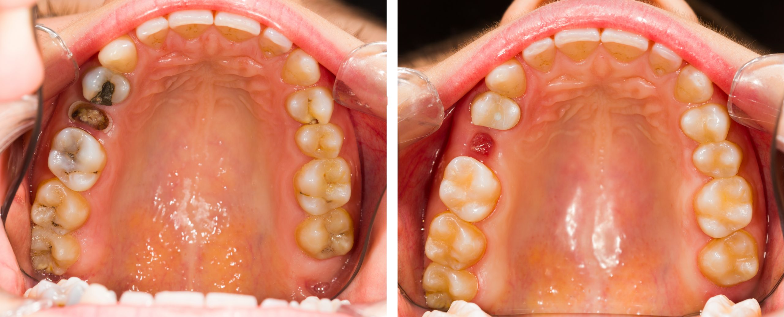
کشیدن دندان در جوانرود؛ چه زمانی ضروری است؟
درمان دندان معمولاً با روشهایی مانند ترمیم، عصبکشی یا استفاده از روکشها انجام میشود. اما گاهی شدت آسیب یا عفونت آنقدر بالاست که دندان دیگر قابل نجات نیست. در این موارد، دندانپزشک متخصص تشخیص میدهد که باید دندان کشیده شود.
نشانههایی که ممکن است نیاز به کشیدن دندان در جوانرود را نشان دهند:
- پوسیدگی شدید و غیرقابل درمان دندان
- لق شدن دندان به علت بیماریهای لثه
- باقیماندن ریشه دندان در لثه
- دندان عقل نهفته یا زاویهدار که به دندانهای کناری آسیب میزند
- وجود عفونت مزمن که به سایر نقاط دهان گسترش یافته
در چنین مواردی، مراجعه به یک دندانپزشک ماهر در زمان مناسب میتواند جلوی مشکلات جدیتر را بگیرد.
برای اطلاع از دندانپزشک در کرمانشاه به شما پیشنهاد میکنم مقاله بهترین دندانپزشکی در کرمانشاه را مطالعه کنید.
هزینه کشیدن دندان در جوانرود چقدر است؟
یکی از سوالات رایج در بین بیماران، اطلاع از هزینه خدمات دندانپزشکی است. در مورد کشیدن دندان در جوانرود، قیمت نهایی به عواملی مانند نوع دندان، روش کشیدن (ساده یا جراحی)، وجود عفونت یا نهفتگی دندان بستگی دارد.
برای درک بهتر انواع روشها و کاربرد آنها، جدول زیر را مشاهده کنید:
| روش کشیدن دندان | توضیح مختصر |
| کشیدن ساده | برای دندانهای قابل مشاهده، بدون جراحی |
| کشیدن با جراحی | برای دندانهای نهفته یا شکسته در زیر لثه |
| کشیدن دندان عقل | ممکن است ساده یا همراه با جراحی باشد |
| کشیدن دندان با لیزر | استفاده از فناوری لیزر برای حداقل تهاجم |
نکته مهم این است که گاهی به خاطر نبود تجهیزات پیشرفته در برخی مناطق، دقت و کیفیت کار کاهش مییابد. از این رو، بسیاری از بیماران جوانرودی ترجیح میدهند برای درمان بهتر به شهر کرمانشاه مراجعه کنند.

بهترین دندانپزشک برای کشیدن دندان در جوانرود
شاید انتخاب دندانپزشک خوب در جوانرود کار سادهای نباشد؛ چرا که گزینههای محدودی وجود دارد. اما اگر به دنبال یک متخصص واقعی و باتجربه هستید که با جدیدترین روشها کار میکند، پیشنهاد ما دکتر معصومه دولتیاری است.
دکتر دولتیاری یکی از پزشکان شناخته شده و خوشنام در کرمانشاه است که بسیاری از بیماران از مناطق اطراف از جمله جوانرود، اسلام آباد، روانسر و ثلاث باباجانی برای درمان نزد ایشان میروند. تجهیزات مدرن، دقت بالا در کار، برخورد حرفهای و ارائه خدمات با قیمت منصفانه از جمله ویژگیهایی است که بیماران دکتر دولتیاری به آن اشاره میکنند.
اگر به دنبال تجربهای بدون درد و با کمترین عوارض هستید، مراجعه به مطب ایشان در کرمانشاه قطعاً ارزشش را دارد.
برای اطلاع از بهترین دندانپزشکی به شما پیشنهاد میکنم مقاله بهترین دندانپزشکی در جوانرود را مطالعه کنید.
نکات مهم قبل از کشیدن دندان
قبل از اینکه برای کشیدن دندان اقدام کنید، رعایت برخی نکات میتواند باعث کاهش درد و جلوگیری از بروز عوارض شود:
- اگر داروی خاصی مصرف میکنید (مثل وارفارین یا داروهای قلبی)، حتماً پزشک را مطلع کنید.
- حداقل ۶ ساعت قبل از کشیدن دندان، از خوردن غذاهای سنگین پرهیز کنید.
- سیگار نکشید و مصرف الکل را متوقف کنید.
- اگر سابقه بیماری خاص، آلرژی یا مشکل انعقاد خون دارید، حتماً در جلسه ویزیت اولیه بیان کنید.
مراقبتهای بعد از کشیدن دندان
اهمیت مراقبتهای پس از کشیدن دندان را دستکم نگیرید. عدم رعایت بهداشت و بیتوجهی به دستورالعملهای پزشک میتواند باعث بروز عفونت یا حتی دردهای شدید شود.
مراقبتهای عمومی پس از کشیدن دندان
- تا ۲۴ ساعت بعد از کشیدن، تف نکنید یا دهان را نشویید.
- از نی برای نوشیدن استفاده نکنید؛ این کار لخته خون را جدا میکند.
- غذاهای نرم مانند پوره سیبزمینی، سوپ، ماست یا برنج کته بخورید.
- کیسه یخ را هر ده دقیقه روی گونه خود قرار دهید تا تورم کاهش یابد.
- هنگام خواب، سر خود را کمی بالاتر از حد معمول قرار دهید.
- داروهای تجویزشده (مسکن و آنتیبیوتیک) را دقیق و بهموقع مصرف کنید.
- از کشیدن سیگار حداقل تا ۷۲ ساعت خودداری کنید.
آیا جایگزینی برای کشیدن دندان وجود دارد؟
در بسیاری از مواقع، بیماران عجله دارند دندان را بکشند؛ غافل از اینکه شاید بتوان آن را نجات داد. برخی از جایگزینهایی که باید بررسی شوند:
- عصبکشی (درمان ریشه): برای دندانهایی که به عصب رسیدهاند اما هنوز ساختار سالم دارند.
- پر کردن یا اینله/آنله: در موارد پوسیدگی متوسط
- جراحی ریشه: برای مواقعی که عفونت از نوک ریشه عبور کرده ولی میتوان دندان را حفظ کرد
دکتر معصومه دولتیاری با بررسی دقیق تصاویر رادیولوژی، بهترین گزینه درمانی را با توجه به وضعیت هر بیمار پیشنهاد میدهد. او همیشه به حفظ دندان اولویت میدهد و تنها زمانی کشیدن را توصیه میکند که راهحل دیگری وجود نداشته باشد.

چرا بیماران جوانرودی بهتر است به کرمانشاه مراجعه کنند؟
شاید برای یک درمان ساده نیاز نباشد از شهر خارج شوید، اما وقتی موضوع به درمانهای جدی مانند کشیدن دندان عقل نهفته، جراحیهای دقیق یا درمانهای عفونتی میرسد، مراجعه به شهری با امکانات بیشتر منطقیتر است.
کلینیکهای دندانپزشکی کرمانشاه، از جمله مطب دکتر معصومه دولتیاری، از پیشرفتهترین تجهیزات بهرهمندند و تیم درمانی آنها تجربهی بالایی در مواجهه با پیچیدگیهای درمانی دارند. از سوی دیگر، بسیاری از بیماران از کیفیت پایین درمان در برخی مطبهای محلی گلایه دارند و همین مسئله باعث شده که اعتماد به متخصصان کرمانشاهی بیشتر شود.
اگر با دنداندرد مواجه هستید و در حال بررسی گزینههای موجود برای کشیدن دندان در جوانرود هستید، بهتر است قبل از تصمیمگیری نهایی، تمام جوانب را بسنجید. گاهی میتوان دندان را نجات داد، گاهی هم کشیدن تنها راه باقی مانده است. اما مهمتر از همه، انتخاب دندانپزشک حرفهای و باتجربه است.
دکتر معصومه دولتیاری، متخصص دندانپزشکی با تجربه بالا در شهر کرمانشاه، انتخاب بسیاری از بیماران جوانرودی بوده و هست. چه برای مشاوره، چه درمان یا جراحی، میتوانید روی دقت و دانش ایشان حساب کنید.
با رعایت مراقبتهای قبل و بعد از کشیدن دندان، تجربهای راحت و کمدرد خواهید داشت. و به یاد داشته باشید: سلامت دهان، سلامت بدن را تضمین میکند.



