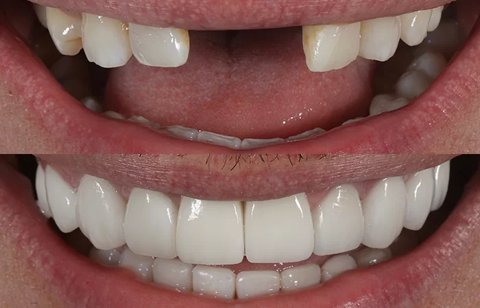
اگر شما یا یکی از عزیزانتان در جوانرود به دنبال روشی نوین، کمتهاجم و دقیق برای جایگزینی دندانهای از دسترفته هستید، ایمپلنت دیجیتال در جوانرود دقیقاً همان چیزی است که به آن نیاز دارید. روشی هوشمند و مدرن که با کمترین درد و برش، لبخند زیبای شما را باز میگرداند.
در ادامه، با راهنماییهای ویژهی دکتر معصومه دولتیاری از دندانپزشکان برجسته کرمانشاه همراه شوید تا با جزییات ایمپلنت دیجیتالی در جوانرود آشنا شوید و بهترین تصمیم درمانی را بگیرید. اگر در جوانرود هستید و به فکر انجام ایمپلنت افتادهاید، ادامه این مقاله را از دست ندهید؛ مخصوصاً اگر میخواهید با کمترین درد، بیشترین نتیجه را بگیرید.

ایمپلنت دیجیتال چیست و چه تفاوتی با ایمپلنت سنتی دارد؟
ایمپلنت دیجیتال جوانرود یک روش نوین کاشت دندان است که بر اساس فناوری سه بعدی (۳D imaging) طراحی و اجرا میشود. برخلاف روشهای سنتی که نیاز به جراحی باز و بخیه داشتند، در این روش از اسکنهای دقیق دیجیتال و شبیهسازی کامپیوتری برای تعیین دقیق موقعیت کاشت استفاده میشود.
تفاوت اصلی با ایمپلنت سنتی:
| ویژگی | ایمپلنت دیجیتال | ایمپلنت سنتی |
| میزان تهاجم | بسیار کم | بالا |
| نیاز به بخیه | ندارد | دارد |
| درد و خونریزی | حداقل | بیشتر |
| سرعت بهبود | سریع | کندتر |
| دقت کاشت | بسیار بالا | وابسته به تجربه پزشک |
برای اطلاع بیشتر از ایمپلنت دندان مقاله ایمپلنت در جوانرود را نیز مطالعه کنید.
مزایای استفاده از ایمپلنت دیجیتال در جوانرود
افرادی که به دنبال ایمپلنت دیجیتال در جوانرود هستند، معمولاً دغدغههایی مانند درد، طول درمان، یا نتیجه نهایی را دارند. خبر خوب اینکه ایمپلنت دیجیتال، بسیاری از این نگرانیها را برطرف کرده است. از جمله مزایا:
- کاشت دندان در کمترین زمان ممکن (گاهی کمتر از ۲۰ دقیقه)
- عدم نیاز به جراحی گسترده
- ایمپلنت بدون درد در جوانرود، مناسب برای افرادی با ترس از دندانپزشکی
- نتایج زیباییشناختی فوقالعاده و هماهنگ با دندانهای طبیعی
- بازگشت سریع به زندگی روزمره
- گزینهای مناسب برای افراد دیابتی یا دارای مشکلات لثه
و خبر بهتر اینکه تمام این خدمات نوین در نزدیکی شما و با بهترین کیفیت در دسترس است!

عوارض ایمپلنت دیجیتال دندان
با اینکه ایمپلنت دیجیتال جوانرود یکی از ایمنترین روشهای کاشت دندان است، اما مانند هر درمانی، ممکن است عوارضی در شرایط خاص رخ دهد. این عوارض معمولاً نادر و قابل پیشگیری هستند:
- التهاب موقتی ناحیه کاشت
- خونریزی مختصر
- عفونت در صورت رعایت نکردن بهداشت دهان
- احتمال شکست در موارد نادر (مثلاً در بیماران سیگاری یا با بیماریهای زمینهای)
با انتخاب یک دندانپزشک مجرب مانند دکتر معصومه دولتیاری، میتوان این عوارض را به حداقل رساند.
فرایند انجام ایمپلنت دیجیتال در کلینیکهای جوانرود
اگر ساکن جوانرود هستید و قصد دارید از ایمپلنت دیجیتال در جوانرود بهرهمند شوید، مراحل زیر در انتظار شما خواهد بود:
- بررسی اولیه و مشاوره تخصصی: تعیین سلامت دهان، وضعیت استخوان فک و نیازهای شما
- عکسبرداری دیجیتال: استفاده از CBCT و اسکن سهبعدی
- طراحی دیجیتال ایمپلنت: طراحی دقیق محل کاشت و مدلسازی نهایی
- کاشت ایمپلنت با برش میکرو: بدون نیاز به بخیه و با حداقل تهاجم
- نصب تاج دندانی: پس از جوش خوردن پایه ایمپلنت با استخوان (معمولاً ۸-۱۲ هفته)
این روش در کلینیکهای منتخب جوانرود با رعایت استانداردهای روز دنیا انجام میشود، اما اگر به دنبال بهترین نتیجه هستید، پیشنهاد ما مشاوره با دکتر معصومه دولتیاری در کرمانشاه است.
چه کسانی کاندید مناسبی برای ایمپلنت دیجیتال هستند؟
شاید بپرسید آیا من برای انجام ایمپلنت دیجیتال در جوانرود مناسب هستم؟ پاسخ این است:
شما کاندید مناسبی هستید اگر:
- استخوان فک شما به اندازه کافی قوی باشد یا قابلیت پیوند داشته باشد
- از سلامت عمومی خوبی برخوردار باشید
- بهداشت دهان و دندان را رعایت کنید
- سیگار نکشید یا بتوانید قبل و بعد از کاشت برای مدتی سیگار را ترک کنید
- از روشهای جراحی و دردناک هراس دارید و به دنبال ایمپلنت بدون درد در جوانرود هستید

مراقبتهای بعد از انجام ایمپلنت دیجیتال
برای اینکه بهترین نتیجه را از ایمپلنت دیجیتال در جوانرود بگیرید، این مراقبتها را جدی بگیرید:
- عدم مصرف غذاهای سفت تا ۴۸ ساعت پس از عمل
- رعایت دقیق بهداشت دهان و استفاده از دهانشویه آنتیباکتریال
- پرهیز از سیگار کشیدن برای دو هفته اول
- مراجعه منظم به دندانپزشک برای بررسی روند جوش خوردن پایه
این مراقبتها به ماندگاری ایمپلنت و جلوگیری از عوارض احتمالی کمک زیادی میکند.
تفاوت ایمپلنت دیجیتال با معمولی
یکی از سوالات رایج بیماران در جوانرود این است که تفاوت ایمپلنت دیجیتال با روش سنتی چیست؟ در ادامه به شکل خلاصه این تفاوتها را مرور میکنیم:
- دقت بالاتر: در روش دیجیتال با کمک شبیهسازی کامپیوتری، دقت کاشت به شکل چشمگیری افزایش مییابد.
- بدون برش عمیق: به دلیل طراحی دقیق، دیگر نیازی به برش وسیع لثه نیست.
- زمان کمتر: کل فرآیند در مدت زمان بسیار کوتاهتری انجام میشود.
- درد کمتر: روش دیجیتال یکی از بهترین گزینهها برای افرادی است که به دنبال ایمپلنت بدون درد در جوانرود هستند.
چرا بیماران جوانرود برای درمان به کرمانشاه مراجعه میکنند؟
شاید برایتان سوال باشد که چرا بسیاری از بیماران از جوانرود برای انجام ایمپلنت دیجیتال به کرمانشاه سفر میکنند؟ دلیل اصلی، حضور پزشکان برجستهای مانند دکتر معصومه دولتیاری است.
دکتر دولتیاری با سالها تجربه در حوزه کاشت دیجیتال دندان، یکی از چهرههای شناختهشده در این زمینه است. بیماران جوانرودی با مراجعه به مطب ایشان در کرمانشاه، نه تنها از خدمات مدرن بهرهمند میشوند، بلکه آرامش و اطمینان خاطر را نیز تجربه میکنند.
اگر به دنبال متخصص ایمپلنت در جوانرود هستید که هم دلسوز باشد و هم بهروز، پیشنهاد میکنیم یک جلسه مشاوره با دکتر معصومه دولتیاری در کرمانشاه را از دست ندهید.
ایمپلنت دیجیتال در جوانرود، یک انتخاب هوشمندانه برای کسانی است که به زیبایی، راحتی، و دوام دندانهای خود اهمیت میدهند. این روش با فناوری روز دنیا، تجربهای کمدرد، سریع و مطمئن برای کاشت دندان فراهم میکند.
با وجود امکانات محدود در برخی کلینیکهای جوانرود، شما میتوانید با یک تصمیم هوشمندانه، مسیر درمان خود را به کرمانشاه و دستان توانای دکتر معصومه دولتیاری بسپارید.
یادتان باشد، کیفیت لبخند آیندهتان، به انتخاب امروزتان بستگی دارد.



