کامپوزیت دندان و جلوگیری از خرابی آن
برای پاسخ به این پرسش که آیا استفاده از کامپوزیت موجب خرابی دندان میشود یا خیر، ابتدا باید با ماهیت این ماده آشنا شویم. کامپوزیت، که به عنوان مواد رزینی سفید شناخته میشود، به منظور اصلاح نقصهای دندانی و پر کردن دندانها به کار می رود. در گذشته، این ماده تنها به عنوان گزینه ای برای افرادی که از مواد پرکننده سیاه رنگ خوششان نمیآمد، مورد استفاده قرار میگرفت. اما امروزه کامپوزیتها در رنگها و برندهای متنوعی تولید میشوند و میتوانند به طور کاملاً طبیعی بر روی دندانها قرار گیرند. انتخاب رنگ و نوع کامپوزیت ابتدا به سلیقه بیمار بستگی دارد و سپس با توجه به نظر دندانپزشک تعیین میشود.
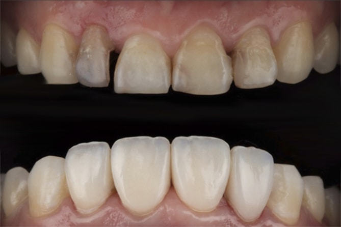
کامپوزیت دندان چیست؟
کامپوزیت دندان تکنیکی است برای بهبود طرح لبخند با استفاده از موادی هم رنگ دندان، که به صورت غیرتهاجمی اجرا میشود. این روش شامل قرار دادن یک لایه نازک از ماده کامپوزیتی بر روی سطح جلویی دندان توسط دندانپزشک متخصص زیبایی است، که سپس به آن فرم و شکل دلخواه داده میشود. این نوع درمان معمولاً با نامهای ونیر کامپوزیت، لمینیت کامپوزیتی و کامپوزیت دندان شناخته میشود.
آیا کامپوزیت کردن سبب پوسیدگی دندان ها می شود؟
کامپوزیت به خودی خود موجب پوسیدگی و خرابی دندان نخواهد شد. با این حال، عواملی متعددی وجود دارند که میتوانند در تسریع تخریب و پوسیدگی دندانها پس از انجام کامپوزیت نقش داشته باشند. یکی از این عوامل، غفلت از بهداشت دهان و دندان است. بسیاری از افراد فکر میکنند که به دلیل تراشیده شدن مینای دندان، پوسیدگی ایجاد میشود، اما این تصور نادرست است. در برخی موارد، ممکن است تنها مقدار کمی از سطح مینای دندان برداشته شود. اما اصلیترین دلیل بروز پوسیدگی، عدم توجه به مراقبت و نگهداری صحیح از دندانهای کامپوزیت شده است.
پس از پایان جلسات کامپوزیت، دندانپزشک باید نکات حیاتی را برای مراقبت از دندانها به بیماران خود آموزش دهد. کامپوزیت در واقع یکی از بهترین روشها برای جلوگیری از پوسیدگیهای دندانی به شمار می رود. در صورت وجود هر نوع پوسیدگی در ناحیه مرکزی دندان، بافت نرم داخل دندان و ریشهها تحت تأثیر قرار خواهند گرفت. بنابراین، در صورت مشاهده دندانهای آسیب دیده، باید به سرعت به دندانپزشک مراجعه کرد تا از بروز آسیبهای جدیتر به سایر نواحی جلوگیری شود.

در چه حالت هایی بعد از اجرای کامپوزیت دندان ها پوسیده می شوند؟
پوسیدگی و خرابی دندان به واسطه عوامل گوناگون شکل میگیرد. در برخی موارد خاص، ممکن است دندانپزشک برای قرار دادن کامپوزیت، تنها مقدار جزئی از مینای دندان را حذف کند. این اقدام میتواند به افزایش فاصله میان روکش کامپوزیت و لثه منجر شود. همچنین، احتمال کمی وجود دارد که دندانها دچار لب پر شدن شوند و این امر موجب بروز پوسیدگی گردد.
پوسیدگی و خرابی دندان ناشی از فاصله میان کامپوزیت و لثه
فاصلهای که میان روکش کامپوزیت و لثه وجود دارد، یکی از عوامل کلیدی است که میتواند به انباشت مواد غذایی در این ناحیه منجر شود. این وضعیت به افزایش رشد باکتریها در دهان و دندان کمک کرده و خطر پوسیدگی را بیشتر میکند. همچنین، نباید نادیده گرفت که عادات مضر مانند استعمال سیگار یا مصرف غذاهای نامناسب میتوانند روند آسیب به دندانها را تسریع نمایند.
نصب نادرست کامپوزیت
یکی دیگر از علل اصلی پوسیدگی و خرابی دندان، عدم تمیزی کافی آنها پیش از نصب کامپوزیت توسط پزشک است. این عامل به تنهایی میتواند کیفیت نتایج نهایی نصب کامپوزیت را به شدت تحت تأثیر قرار دهد. بنابراین، توصیه میشود قبل از انجام این کار، به یک دندانپزشک متخصص و با تجربه در این حوزه مراجعه کنید.
پوسیدگی دندان ناشی از بیتوجهی به ترمیم کامپوزیت
عدم رسیدگی به تعویض و ترمیم به موقع کامپوزیت میتواند عامل دیگری باشد که موجب تشدید پوسیدگی دندان میشود. با اینکه طول عمر کامپوزیت نسبت به ونیر سرامیکی کمتر است، اما از نظر مقاومت در برابر فشار و ضربه، برتری دارد. به ویژه افرادی که به دندان قروچه مبتلا هستند، باید به طور دورهای به دندانپزشک مراجعه کرده و از وضعیت کامپوزیتهای خود مطلع شوند تا در صورت نیاز، ترمیم یا تعویض صورت گیرد.
تجمع باکتری در اطراف کامپوزیت
پوسیدگی و خرابی دندان پس از قرارگیری کامپوزیت عمدتاً ناشی از تجمع ذرات غذا، جرم و پلاک است. وجود فاصله کوچک بین دندان و روکش، محیط مناسبی برای رشد باکتریها و تشکیل پلاک دندانی فراهم میآورد. همچنین، سیگار کشیدن و مصرف مواد غذایی اسیدی میتواند روند تخریب دندان را تسریع کند.
آلرژی به کامپوزیت
در موارد نادر، برخی افراد به مواد موجود در کامپوزیت یا چسب آن حساسیت نشان میدهند که این واکنش ممکن است به صورت التهاب لثه، قرمزی و خونریزی در نواحی اطراف کامپوزیت بروز کند. این نوع آلرژی معمولاً با تأخیر ظاهر میشود و در صورت عدم درمان، میتواند به مشکلاتی مانند پوسیدگی دندان منجر گردد. در صورت بروز نشانههایی نظیر التهاب، خارش یا اگزما پس از استفاده از کامپوزیت، مراجعه فوری به دندانپزشک توصیه میشود.

نکات مهم جلوگیری از پوسیدگی دندان بعد از کامپوزیت
از جمله نکات کلیدی در این حوزه که نیاز به توجه ویژه دارند، میتوان به موارد زیر اشاره کرد:
- در صورت مشاهده پوسیدگی در دندانهای کامپوزیت، به سرعت به دندانپزشک مراجعه کنید. در برخی موارد، جداسازی کامپوزیت از دندان ممکن است، که این کار باید توسط دندانپزشک ماهر انجام شود.
- یکی از ویژگیهای کلیدی کامپوزیت، امکان تعویض و ترمیم آن است. در صورت بروز پوسیدگی، مشاوره با پزشک معالج الزامی است.
- برای حفظ سلامت دندانها، روزانه از نخ دندان استفاده کنید و انجام چکاپهای سالانه را جدی بگیرید.
- مصرف مواد غذایی سفت مانند آجیل و خشکبار میتواند به ساییدگی و پوسیدگی دندانهای کامپوزیتی منجر شود. همچنین، پس از مصرف خوراکیها و نوشیدنیهای رنگی مانند چای و قهوه، مسواک زدن دندانها ضروری است تا از تغییر رنگ آنها جلوگیری شود.
کامپوزیت دندان تحت نظر متخصص حرفه ای، خانم دکتر معصومه دولتیاری، به بهبود زیبایی و سلامت دندانها کمک میکند. این فرآیند با مشاورهای جامع آغاز میشود تا نیازها و انتظارات بیمار به خوبی درک شود. سپس از مواد با کیفیت و تکنیکهای پیشرفته برای ترمیم طبیعی دندانها استفاده میشود. همچنین، مراقبتهای لازم بعد از درمان به بیماران آموزش داده میشود تا نتایج ماندگار باشد.
سخن پایانی
کامپوزیت یکی از روشهای محبوب زیبایی دندان است که به بهبود ظاهر دندانها کمک میکند. این ماده با رنگ دندانها تطابق دارد و پزشک آن را بر روی دندانها قرار داده و صیقل میدهد تا زیبایی بیشتری ایجاد کند. کامپوزیت باعث پوسیدگی و خرابی دندان نمی شود و گزینهای مناسب برای تغییر شکل دندانهای آسیب دیده محسوب میشود. با رعایت نکات بهداشتی، عمر مفید کامپوزیتها به چندین سال افزایش مییابد.



