کشیدن دندان در سقز؛ هر آنچه پیش از تصمیم نهایی باید بدانید

اگر دندان ‌درد شدید، تورم یا عفونت مداوم دارید و به دنبال درمانی قطعی هستید، احتمالاً نام “کشیدن دندان” برایتان آشناست. موضوعی که اگرچه ترسناک به نظر می‌رسد، اما گاهی تنها راه نجات از دردهای طاقت‌فرساست. در این مقاله، با نگاهی دقیق و کاربردی به موضوع کشیدن دندان در سقز می‌پردازیم و در نهایت شما را با دکتر معصومه دولتیاری، یکی از بهترین متخصصان دندانپزشکی در کرمانشاه آشنا می‌کنیم. همراه ما باشید تا بهترین تصمیم را برای سلامت دهان و دندان خود بگیرید.

قبل از هرچیزی پیشنهاد میکنیم فرم زیر را پر کنید تا در اسرع وقت با شما تماس بگیریم.

کشیدن دندان در سقز

کشیدن دندان در سقز بدون درد با روش‌های نوین

یکی از دغدغه‌های اصلی بیماران در شهر سقز، نگرانی از درد حین یا بعد از کشیدن دندان است. خوشبختانه، با پیشرفت علم دندانپزشکی، امروزه روش‌هایی چون بی‌حسی موضعی پیشرفته، آرام‌بخش‌های خوراکی، و حتی کشیدن دندان با لیزر در برخی مراکز، تجربه‌ای بدون درد و استرس را برای بیماران فراهم می‌کند. اگرچه بسیاری از کلینیک‌های سقز هنوز به روش‌های سنتی پایبند هستند، اما تعدادی از آن‌ها خدماتی مدرن و با کیفیت ارائه می‌دهند.

بهترین کلینیک‌های کشیدن دندان در سقز

در شهر سقز، کلینیک‌هایی وجود دارند که خدمات کشیدن دندان را ارائه می‌دهند، اما کیفیت تجهیزات، تخصص دندانپزشک و توجه به شرایط خاص بیمار تفاوت‌های زیادی ایجاد می‌کند. در انتخاب کلینیک، به مواردی مانند بهداشت محیط، داشتن دستگاه‌های تصویربرداری دقیق، و استفاده از ابزارهای یک‌بار مصرف توجه ویژه داشته باشید. با این حال اگر به دنبال یک تجربه مطمئن‌تر، تخصصی‌تر و بدون ریسک هستید، شاید لازم باشد فراتر از سقز نگاه کنید.

برای اطلاع از دندانپزشک در کرمانشاه به شما پیشنهاد می‌کنم مقاله بهترین دندانپزشکی در کرمانشاه را مطالعه کنید.

دکتر معصومه دولتیاری؛ انتخابی مطمئن برای بیماران سقز

اگر ساکن شهر سقز هستید و به دنبال درمانی حرفه‌ای و بدون نگرانی برای کشیدن دندان خود می‌گردید، دکتر معصومه دولتیاری در کرمانشاه می‌تواند انتخابی بی‌نظیر برای شما باشد. ایشان با بیش از یک دهه تجربه در زمینه جراحی‌های دهان و دندان، استفاده از جدیدترین روش‌های درمانی و برخوردی حرفه‌ای و مهربانانه با بیماران، توانسته‌اند رضایت بیماران بسیاری را جلب کنند. بسیاری از بیماران سقزی، ترجیح داده‌اند با طی مسافت کوتاه تا کرمانشاه، کشیدن دندان خود را با خیال راحت به دکتر دولتیاری بسپارند.

تفاوت کشیدن دندان عقل و معمولی

دندان عقل معمولاً در سنین ۱۷ تا ۲۵ سالگی رشد می‌کند و ممکن است به دلیل نهفتگی یا زاویه رشد نامناسب، باعث فشار به دندان‌های مجاور شود. کشیدن این دندان به‌مراتب پیچیده‌تر از سایر دندان‌هاست و معمولاً نیاز به جراحی، بخیه و مراقبت‌های خاص دارد. درحالی‌که کشیدن دندان‌های معمولی (مانند دندان‌های قدامی یا آسیای کوچک) معمولاً به صورت ساده و در یک جلسه انجام می‌شود.

تفاوت کشیدن دندان عقل و معمولی

کشیدن دندان با لیزر در سقز؛ آیا امکان‌پذیر است؟

در حال حاضر، استفاده از فناوری لیزر در حوزه دندانپزشکی به‌ویژه برای کشیدن دندان در ایران محدود و بیشتر در کلان‌شهرها قابل‌دسترسی است. با اینکه برخی از کلینیک‌های پیشرفته در کرمانشاه مانند مطب دکتر دولتیاری این امکان را فراهم کرده‌اند، متأسفانه در سقز هنوز کلینیکی که به صورت تخصصی از لیزر استفاده کند، گزارش نشده است. اگر راحتی، کمترین خونریزی و سرعت بهبود برایتان اولویت دارد، استفاده از خدمات لیزری در کرمانشاه گزینه‌ای ایده‌آل خواهد بود.

هزینه کشیدن دندان در سقز چقدر است؟

هزینه کشیدن دندان در سقز به عوامل مختلفی بستگی دارد؛ از جمله نوع دندان، میزان پیچیدگی، روش درمان (ساده یا جراحی)، و امکانات کلینیک انتخابی. برخی بیماران تنها نیاز به کشیدن ساده دارند، در حالی‌که در مواردی مانند دندان عقل نهفته، نیاز به جراحی پیشرفته‌تری وجود دارد. توصیه می‌شود پیش از تصمیم‌گیری، با یک دندانپزشک معتمد مشورت کرده و برآورد دقیقی دریافت کنید.

در چه مواردی کشیدن دندان ضروری است؟

کشیدن دندان آخرین راه‌حل برای درمان دندان‌درد یا عفونت است. اما در شرایط زیر، این گزینه ضروری می‌شود:

  • پوسیدگی شدید و غیرقابل‌درمان
  • عفونت ریشه و عدم موفقیت در عصب‌کشی
  • دندان عقل نهفته و دردناک
  • فضای کم در فک برای ارتودنسی
  • شکستگی شدید دندان

در چنین شرایطی، عدم درمان می‌تواند منجر به گسترش عفونت و آسیب به سایر دندان‌ها شود.

مراقبت‌های بعد از کشیدن دندان در منزل

پس از کشیدن دندان، رعایت نکات زیر به بهبودی سریع‌تر و جلوگیری از عوارض کمک می‌کند:

  • ۲۴ ساعت اول از مسواک زدن محل جراحی خودداری کنید
  • نوشیدنی داغ و غذاهای سفت نخورید
  • از نی برای نوشیدن استفاده نکنید (جلوگیری از حفره خشک)
  • از کمپرس یخ برای کاهش ورم استفاده کنید
  • داروهای تجویزشده را سر ساعت مصرف نمایید
  • در صورت داشتن درد شدید، خونریزی مداوم یا تب، حتماً با دندانپزشک خود تماس بگیرید.

مراقبت‌های بعد از کشیدن دندان

بهترین زمان برای کشیدن دندان عقل

دندان عقل بهتر است پیش از آن‌که به طور کامل رشد کند یا موجب درد و عفونت شود، توسط دندانپزشک بررسی شود. بهترین زمان برای کشیدن دندان عقل معمولاً بین ۱۷ تا ۲۱ سالگی است؛ چرا که ریشه‌ها هنوز کاملاً شکل نگرفته‌اند و روند جراحی و بهبود آسان‌تر است. مراجعه زودهنگام به دندانپزشک می‌تواند از دردسرهای آینده جلوگیری کند.

آیا کودکان هم نیاز به کشیدن دندان دارند؟

گرچه بیشتر کشیدن دندان در بزرگسالان اتفاق می‌افتد، اما گاهی در کودکان نیز نیاز به این کار وجود دارد. دندان‌های شیری که بیش از زمان مقرر در دهان باقی بمانند یا باعث نامرتبی دندان‌های دائمی شوند، ممکن است توسط دندانپزشک کشیده شوند. در این موارد، مهارت و تجربه دندانپزشک مانند دکتر دولتیاری، تأثیر زیادی در کاهش استرس کودک دارد.

نکاتی که قبل از مراجعه برای کشیدن دندان در سقز باید بدانید

  • با دندانپزشک درباره سوابق بیماری و داروهایی که مصرف می‌کنید مشورت کنید
  • شب قبل خوب استراحت کرده و غذای سبک بخورید
  • از استعمال دخانیات ۱۲ ساعت قبل خودداری کنید
  • در صورت وجود عفونت فعال، ممکن است نیاز به مصرف آنتی‌بیوتیک قبل از کشیدن دندان باشد

جایگزین‌های دندان کشیده‌شده (جدول مقایسه‌ای)

نوع جایگزینتوضیحات کوتاهمزایامعایب
ایمپلنت دندانیجایگزینی دائمی با پایه تیتانیومی در فکماندگاری بالا، شبیه دندان طبیعیقیمت نسبتاً بالا
بریج دندانیپل دندانی که بین دو دندان سالم قرار می‌گیردهزینه کمتر از ایمپلنتتراش دندان‌های کناری
دندان مصنوعی متحرکقالبی متحرک برای جای خالی دندانهزینه کم، نصب سریعکمتر طبیعی، نیاز به نگهداری

جایگزین‌های دندان کشیده‌شده

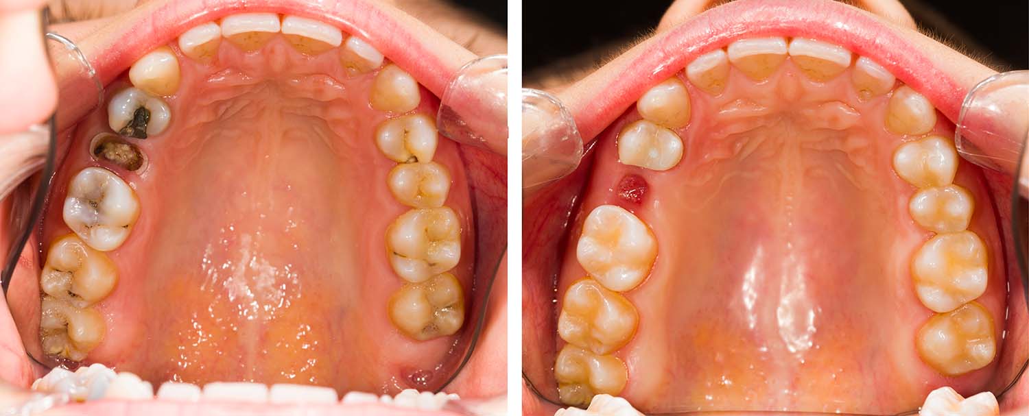
عارضه‌های احتمالی پس از کشیدن دندان؛ چه چیزهایی را باید جدی گرفت؟

اگرچه کشیدن دندان معمولاً روندی ساده و بی‌خطر است، اما مانند هر عمل جراحی کوچکی، ممکن است با برخی عوارض همراه باشد. آگاهی از این عارضه‌ها به شما کمک می‌کند در صورت بروز آن‌ها، سریع‌تر واکنش نشان دهید و از مشکلات بزرگ‌تر جلوگیری کنید. در ادامه به مهم‌ترین عوارض احتمالی پس از کشیدن دندان اشاره می‌کنیم:

خونریزی طولانی‌مدت

کمی خونریزی در ساعات اولیه طبیعی است، اما اگر پس از ۲۴ ساعت همچنان شاهد خونریزی فعال هستید، باید فوراً با دندانپزشک تماس بگیرید. استفاده نادرست از داروهای رقیق‌کننده خون می‌تواند عامل آن باشد.

عفونت محل جراحی

در صورت عدم رعایت بهداشت یا وجود عفونت قبلی در ناحیه، ممکن است زخم دچار عفونت شود. علائم شامل بوی بد دهان، ترشحات چرکی، تورم و تب است. مصرف آنتی‌بیوتیک تجویزی و مراقبت درست، از عفونت جلوگیری می‌کند.

حفره خشک (Dry Socket)

یکی از شایع‌ترین و دردناک‌ترین عوارض پس از کشیدن دندان، مخصوصاً دندان عقل. در این حالت لخته خون از محل جراحی جدا می‌شود یا تشکیل نمی‌گردد، و استخوان فک نمایان می‌ماند. درد شدید، بوی بد و تأخیر در بهبود، نشانه‌های آن است. باید توسط دندانپزشک شست‌وشو و پانسمان شود.

تورم و کبودی

تورم و کمی کبودی اطراف ناحیه کشیدن دندان به‌خصوص در دندان‌های عقب، طبیعی است و معمولاً طی چند روز کاهش می‌یابد. استفاده از کمپرس سرد در ۲۴ ساعت اول مؤثر است.

 بی‌حسی موقت یا دائم

در مواردی نادر، به‌ویژه هنگام کشیدن دندان‌های عقل پایین، تماس یا آسیب به عصب فک ممکن است باعث بی‌حسی لب، زبان یا چانه شود. اغلب این حالت موقتی است، اما در موارد خاص ممکن است ماندگار باشد.

 باز شدن بخیه‌ها

اگر نیاز به بخیه بوده باشد، باز شدن زودهنگام بخیه‌ها ممکن است باعث تأخیر در بهبودی شود. در این صورت حتماً باید برای بررسی مجدد به دندانپزشک مراجعه شود.

اگرچه گزینه‌هایی برای کشیدن دندان در سقز وجود دارد، اما وقتی پای سلامت دندان، جلوگیری از درد و عوارض احتمالی در میان باشد، سپردن درمان به یک متخصص باتجربه مانند دکتر معصومه دولتیاری در کرمانشاه می‌تواند آرامش خاطر بیشتری برای شما به ارمغان آورد. مطب ایشان با بهره‌گیری از تجهیزات به‌روز، رعایت کامل پروتکل‌های بهداشتی، و رفتار حرفه‌ای با بیماران، انتخاب اول بسیاری از افرادی است که از سقز برای درمان مراجعه می‌کنند.

توصیه ما به شما این است که اگر قصد کشیدن دندان در سقز را دارید، ابتدا مشاوره‌ای با مطب دکتر دولتیاری داشته باشید و با آگاهی کامل، تصمیمی صحیح و مطمئن بگیرید.

بیشتر بخوانید...

قیمت(هزینه) خدمات دندانپزشکی در کرمانشاه
خدمات دندانپزشکی
dr-dolatyari-dentist

قیمت(هزینه) خدمات دندانپزشکی در کرمانشاه(۱۴۰۴)

خدمات دندانپزشکی نقش مهمی در حفظ سلامت عمومی بدن، زیبایی لبخند و بهبود کیفیت زندگی دارند. به همین دلیل اطلاع از هزینه دندانپزشکی در کرمانشاه یکی از اصلی‌ترین دغدغه‌های افرادی است که قصد انجام درمان‌های دندانپزشکی دارند. آگاهی از تعرفه‌ها به بیماران کمک می‌کند تا با دید باز، بهترین مرکز

توضیحات بیشتر »
کامپوزیت اقساطی در گیلانغرب
کامپوزیت دندان
dr-dolatyari-dentist

کامپوزیت اقساطی در گیلانغرب ؛ راهی سریع و مقرون‌به‌صرفه

اگر مدتی است جلوی آینه می‌ایستید و احساس می‌کنید چیزی در لبخندتان کم است، یا اگر هنگام عکس گرفتن لب‌هایتان را نیمه‌بسته نگه می‌دارید تا ناهماهنگی دندان‌ها مشخص نشود، وقت آن رسیده با یک روش کاملاً ایمن، اقتصادی و سریع آشنا شوید؛ کامپوزیت دندان. کامپوزیت دندان نه تنها لبخند شما

توضیحات بیشتر »
عصب کشی دندان در گیلانغرب
عصبکشی
dr-dolatyari-dentist

هر آنچه باید در مورد عصب کشی دندان در گیلانغرب بدانید

اگر تا به حال دچار دندان‌درد شدید شده‌اید، حتماً می‌دانید که این درد چگونه می‌تواند تمام برنامه‌های روزمره را مختل کند. در چنین موقعیتی، یکی از مؤثرترین درمان‌ها عصب‌کشی است؛ روشی که می‌تواند دندان شما را از کشیده‌شدن نجات دهد و آرامش را دوباره به لبخندتان برگرداند. اما اگر ساکن

توضیحات بیشتر »

دیدگاهتان را بنویسید

نشانی ایمیل شما منتشر نخواهد شد. بخش‌های موردنیاز علامت‌گذاری شده‌اند *